Courses 

Upcoming Course Schedule with Dr. Klim

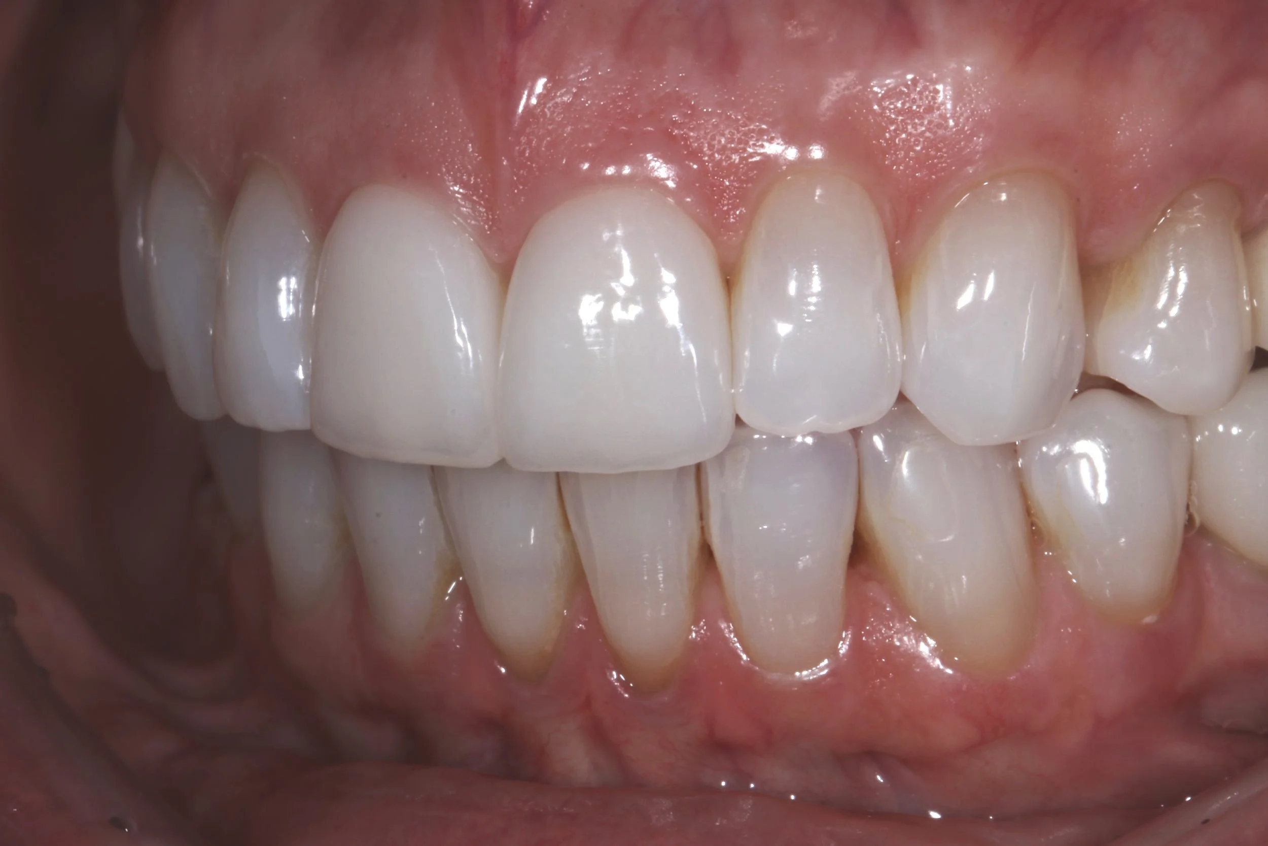
  • This virtual 4 hour presentation will cover the process of creating aesthetic and predictable CEREC™ veneers. Learn more

  • This one day hands on course will elevate your anterior ceramic finishing skills, from texturing/shaping to stain and glaze. Learn more

  • This virtual 7 hour live presentation will cover Dr. Klim’s seven systematic steps for single arch or full mouth comprehensive care utilizing CAD/CAM technology. Learn More

  • Take efficiency and quality to the highest level with this two day hands-on course with Dr. James Klim. Whether you are an experienced CEREC user of many years or a new user, this course will elevate your bread and butter dentistry. Learn more

Posterior Precision

2 Day Hands-On Course

CEREC™ Crowns & Bridges

Learn more

2 Day Hands-On Course

Learn more

CEREC™Implant &Bridge Applications

2 Day Hands-On Course

Learn more

1 Day Hands-On Course

Learn more

4 Hour Live Virtual Course

Learn more
Learn more