CEREC™ Implant and Bridge

Applications 

The workshop covers single-tooth implant abutment and hybrid abutment/crown restorations along with bridge options with lithium disilicate and zirconia.

Small Class Size

Hands On Training

Individual Attention

Register Now

Understanding occlusion biomechanical impact on bridge and implant success

Digital impression for CEREC™ implant ScanBody

Learn CEREC™ Software workflow for bridges and implants

Selecting material and ceramic shading for bridges and implants

Optimizing the mill for both e.max and Zirconia

Learn Dr. Klim’s finishing and stain/glaze technique for bridges and implants

Cementing protocols for both Sirona and Ivoclar TiBase implant and bridge applications

Learning Objectives:

Learning Metods:

  • Interactive mentoring with Dr. Klim

  • Multimedia presentation support with video over-the-shoulder applications

  • Hands-on applications, finishing multiple restorations

  • Workbook syllabus with presentation highlights and references

There are no prerequisites for this course

Implant anterior restorative case in CEREC™ software using Truabutment scan posts with the Primescan. Technique taught by Dr. James Klim in his hands on CEREC™ training courses.
Anterior bridge case by Dr. James Klim. Bridge finishing techniques taught by Dr. Klim at CEREC™ Implant and Bridge Application course.
CADStar
 Nationally Approved PACE Program Provider for FAGD/MAGD credit. Approval does not imply acceptance by any regulatory authority or AGD endorsement.
 1/1/2023 to 12/31/2025.
 Provider ID# 373312 
AGD PACE Logo- CADStar is an approved PACE provider

Details:

Location: Klim Institute- CADStar Campus

170 Farmers Lane, Suite 6B, Santa Rosa, CA 95405

Tuition:

  • Doctor: $3200

  • Assistant: $1500 (each assistant will have an individual case for finishing portion of the course)

    See below for participation agreement and cancelation policy

Day 1: Thursday 8:00 am - 5:00 pm

Day 2: Friday 8:00 am - 3:00 pm

Breakfast & Lunch Served

14 CE credits (AGD Subject code: 610)

Instructor: James Klim, DDS (see below for bio)

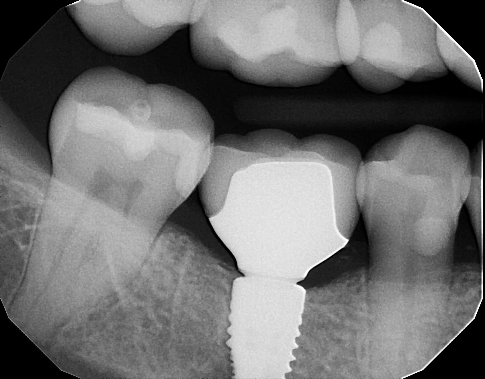
X-ray of a posterior implant CEREC abutment and crown by James Klim, DDS. Method taught in his hands on CEREC™ course on Implants and Bridges.
Implant abutments on tibases by James Klim, DDS. Taught in the CEREC™ Implant and Bridge Applications hands on course by James Klim, DDS.

Cancelation Policy and Participation Agreement:

If for any reason you need to reschedule 120 days or more prior to the start of the workshop, a full refund will be granted. Rescheduling 120 days and up to 90 days prior to the class date, will be subject to a refund minus the value of reservation deposit of $1950 per doctor and $695 per assistant. No refund will be issued after 90 days prior to the workshop scheduled. Tuition may not be transferred to another course date. 

James Klim, DDS, FAGD, AAACD CEREC™ CAD/CAM instructor

Instructor: James Klim, DDS, FAGD, AAACD

Dr. Klim is an internationally recognized speaker, author, manufacture consultant, beta tester, and teacher of biofunctional and aesthetic CAD/CAM dentistry. 

With over 30 years of clinical experience working with all-ceramic restorative dentistry, Dr. Klim is known for passing on sound clinical understanding and techniques about integrating restorative protocols to the digital platform with predictable results. He is passionate about sharing tools and templates that will assist other CEREC users with their success and satisfaction in the CAD/CAM restorative theater.

Graduating Summa cum Laude, valedictorian, from Loma Linda University in 1984, Dr. Klim has been awarded high academic recognition by the Alpha Omega Fraternity and the Omicron Kappa Upsilon Society and has received the Prince Award from Loma Linda University School of Dentistry.

Dr. Klim has been awarded fellowships from the Academy of General Dentistry and Academy of Dental-Facial Esthetics. He is an Accredited Member of the American Academy of Cosmetic Dentistry.

Currently, Dr. Klim practices and teaches in Santa Rosa, California, and is the founder and director of the Klim Institute CADStar™ CEREC Training Center, and hosts the international online CEREC training (has been viewed in over 150 countries).

With several years teaching post-graduate levels in functional and aesthetic dentistry, he is now using this experience as one of the most sought after educators in CAD/CAM dentistry. His knowledge and practical clinical experience will mentor the CEREC oriented office with further digital integration and clinical applications.