CEREC Virtual  

Veneers  

This virtual 4 hour course will cover the process of creating aesthetic and predictable CEREC™ veneers

Course Dates:

October 10, 2025 (9:00 am-1:00 pm PDT)- Virtual

January 9, 2026 (9:00 am-1:00 pm PST)- Virtual

(For those registered, zoom links were sent to the email on registration. Please check email link and instructions)

October 10, 2025 - Register Now
January 9, 2026 - Register Now

Learning Objectives:

Optimizing the New Patient Experience

Diagnostic Processes

Preparation Protocols- Minimal vs Non-Prep Veneers

Digital Design Techniques and Sequencing with the CEREC™ System

Color Matching: Shade Selection & Utilizing Resin to Blend Ceramics 

Predictable Bonding Protocols

Streamlining Anterior Adhesive Protocols 

Learning Metods:

  • Live electronically mediated presentation through Zoom meeting

  • Multimedia presentation

  • Live Q and A with Dr. Klim

  • PDF hand out with presentation highlights and references

  • Technical requirements: Stable internect connection with ability to access Zoom meeting

There are no prerequisites for this course

Format: Live, Electronically Mediated

Tuition:

  • $395 per attendee

Times: See dates for specific times

4 CE credits (Subject code: 610)

Instructor: James Klim, DDS (see below for bio)

Contact: Jenny Event Manager 844-375-5546

Details:

CADStar
 Nationally Approved PACE Program Provider for FAGD/MAGD credit. Approval does not imply acceptance by any regulatory authority or AGD endorsement.
 1/1/2023 to 12/31/2025.
 Provider ID# 373312 
AGD PACE Logo- CADStar is PACE approved provider
Veneer being customized Dr. James Klim using stain and glaze techniques taught in a one day hands on course for CEREC™ dentists
Anterior veneer case by Dr. James Klim illustrating his concept of the art of distraction for anterior teeth.
Dr. Klim instructing an attendee of a hands on course for CEREC™ CAD/CAM dentist. Attendees learn techniques how to shape in, stain, glaze and polish anterior veneers.
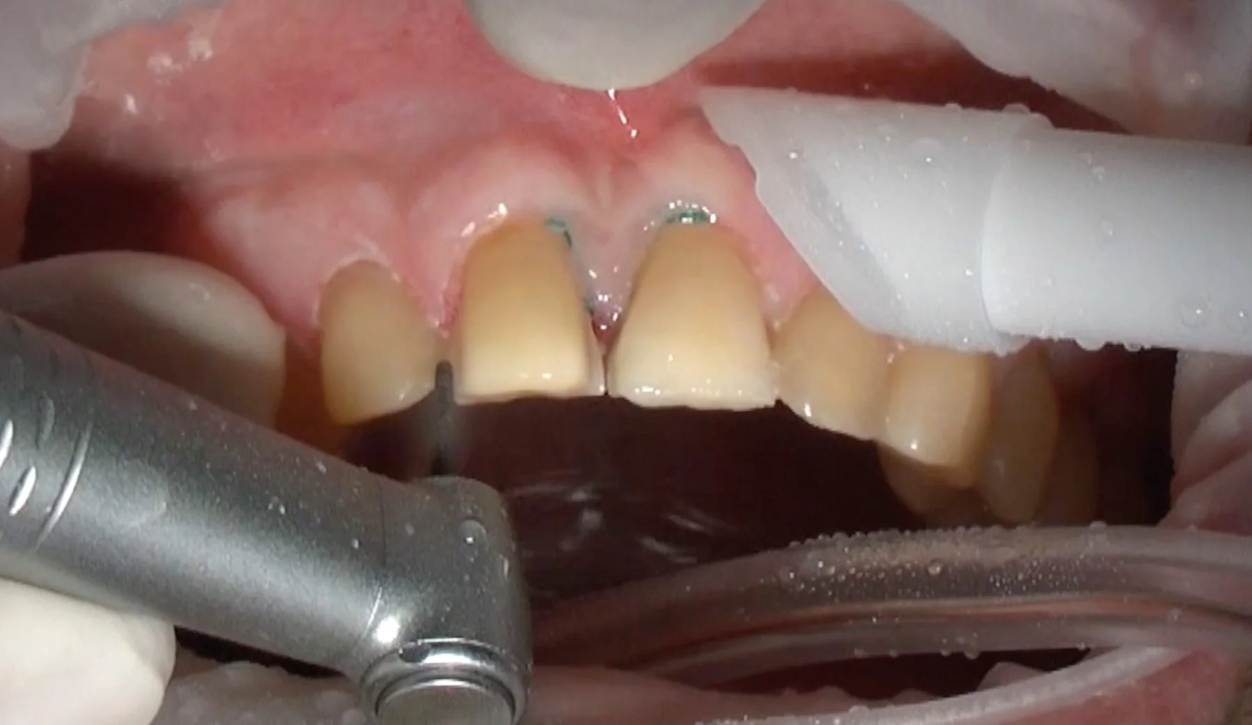
James Klim, DDS preparing an anterior CEREC™ veneer case. This case is used to train other CEREC™ CAD/CAM dentist during a virtual training course.

Cancelation Policy and Participation Agreement:

Cancelations after 90 days and up to 60 days prior to course date will be subject to refund minus value of reservation deposit of $195 per participant. No refund will be issued after 60 days prior to course date. 

James Klim, DDS, FAGD, AAACD CEREC™ CAD/CAM instructor

Instructor: James Klim, DDS, FAGD, AAACD

Dr. Klim is an internationally recognized speaker, author, manufacture consultant, beta tester, and teacher of biofunctional and aesthetic CAD/CAM dentistry. 

With over 30 years of clinical experience working with all-ceramic restorative dentistry, Dr. Klim is known for passing on sound clinical understanding and techniques about integrating restorative protocols to the digital platform with predictable results. He is passionate about sharing tools and templates that will assist other CEREC users with their success and satisfaction in the CAD/CAM restorative theater.

Graduating Summa cum Laude, valedictorian, from Loma Linda University in 1984, Dr. Klim has been awarded high academic recognition by the Alpha Omega Fraternity and the Omicron Kappa Upsilon Society and has received the Prince Award from Loma Linda University School of Dentistry.

Dr. Klim has been awarded fellowships from the Academy of General Dentistry and Academy of Dental-Facial Esthetics. He is an Accredited Member of the American Academy of Cosmetic Dentistry.

Currently, Dr. Klim practices and teaches in Santa Rosa, California, and is the founder and director of the Klim Institute CADStar™ CEREC Training Center, and hosts the international online CEREC training (has been viewed in over 150 countries).

With several years teaching post-graduate levels in functional and aesthetic dentistry, he is now using this experience as one of the most sought after educators in CAD/CAM dentistry. His knowledge and practical clinical experience will mentor the CEREC oriented office with further digital integration and clinical applications.