
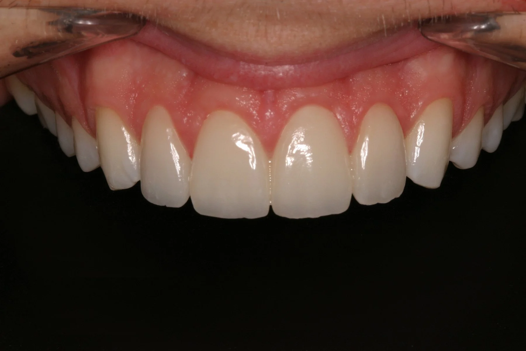
Elevating Anteriors:
CEREC Veneers & Crowns
Elevating Anteriors is about understanding and implementing a systematic sequence that will be dependable with each aesthetic case.
Small Class Size
Hands On Training
Individual Attention
Course Dates:
January 29-30, 2026 - Santa Rosa, CA
Learning Objectives:
Smile Design: Fundamental Principles of Anterior Aesthetic Dentistry
Diagnostics: Treatment Presentation and Patient Communication
Preparation: Guidelines for Veneers vs Crowns
Case Selection: Criteria for no prep, minimal prep & Traditional Prep Veneers
Software Design: Simplify Steps of Esthetic Virtual Design for Veneers & Crowns
Material Selection: Choosing appropriate material for each case
Finishing: Texturing, Glazing and Superficial Gloss Finish (Fingerprinting”)
Seating: Adhesive Protocols & Bonding Resin Effects (Color Matching)
Learning Metods:
Interactive mentoring with Dr. Klim
Multimedia presentation support with video over-the-shoulder applications
Hands-on applications, finishing multiple restorations
Workbook syllabus with presentation highlights and references
There are no prerequisites for this course
CADStar
Nationally Approved PACE Program Provider for FAGD/MAGD credit. Approval does not imply acceptance by any regulatory authority or AGD endorsement.
1/1/2026 to 12/31/2029.
Provider ID# 373312
Location: Klim Institute- CADStar Campus
170 Farmers Lane, Suite 6B, Santa Rosa, CA 95405
Tuition:
Doctor: $3200
Assistant: $1500 (each assistant will have an individual case for finishing portion of the course)
See below for participation agreement and cancelation policy
Day 1: Thursday 8:00 am - 5:00 pm
Day 2: Friday 8:00 am - 3:00 pm
Breakfast & Lunch Served
14 CE credits (Subject code: 610)
Instructor: James Klim, DDS (see below for bio)
Contact: Jenny Event Manager: 844-375-5546
Details:
Cancelation Policy and Participation Agreement:
If for any reason you need to reschedule 120 days or more prior to the start of the workshop, a full refund will be granted. Rescheduling 120 days and up to 90 days prior to the class date, will be subject to a refund minus the value of reservation deposit of $1950 per doctor and $695 per assistant. No refund will be issued after 90 days prior to the workshop scheduled. Tuition may not be transferred to another course date.
Instructor: James Klim, DDS, FAGD, AAACD
Dr. Klim is an internationally recognized speaker, author, manufacture consultant, beta tester, and teacher of biofunctional and aesthetic CAD/CAM dentistry.
With over 30 years of clinical experience working with all-ceramic restorative dentistry, Dr. Klim is known for passing on sound clinical understanding and techniques about integrating restorative protocols to the digital platform with predictable results. He is passionate about sharing tools and templates that will assist other CEREC users with their success and satisfaction in the CAD/CAM restorative theater.
Graduating Summa cum Laude, valedictorian, from Loma Linda University in 1984, Dr. Klim has been awarded high academic recognition by the Alpha Omega Fraternity and the Omicron Kappa Upsilon Society and has received the Prince Award from Loma Linda University School of Dentistry.
Dr. Klim has been awarded fellowships from the Academy of General Dentistry and Academy of Dental-Facial Esthetics. He is an Accredited Member of the American Academy of Cosmetic Dentistry.
Currently, Dr. Klim practices and teaches in Santa Rosa, California, and is the founder and director of the Klim Institute CADStar™ CEREC Training Center, and hosts the international online CEREC training (has been viewed in over 150 countries).
With several years teaching post-graduate levels in functional and aesthetic dentistry, he is now using this experience as one of the most sought after educators in CAD/CAM dentistry. His knowledge and practical clinical experience will mentor the CEREC oriented office with further digital integration and clinical applications.