Anterior Ceramic  

Finishing  

This one day hands on course will elevate your anterior ceramic finishing skills, from texturing/shaping to stain and glaze.

Course Dates:

Full - November 14, 2025-

Patterson Dental: 185 S Douglas St, Suite100, El Segundo, CA

9:00 am- 3:30 pm PST

Join Waitlist

Learning Objectives:

Hands on Finishing Including Stain & Glaze

Selecting Material for Function and Aesthetics

Color Matching: Shade Selection & Utilizing Resin to Blend Ceramics

Eliminating Post-op Sensitivity 

Incisal Halo Effect Technique 

Micro-Surface Texturing

Streamlining Anterior Adhesive Protocols 

Learning Metods:

  • Interactive mentoring with Dr. Klim

  • Multimedia presentation support with video over-the-shoulder applications

  • Hands-on finishing applications

  • Workbook syllabus with presentation highlights and references

There are no prerequisites for this course

Hands on Finishing Course

Location: November 14, 2025- Patterson Dental: 185 S Douglas St, Suite100, El Segundo, CA

Tuition:

  • Doctor: $995

  • Assistant: $495

    (Assistants must be accompanied by doctor. Each attendee will have their own workstation)

    See below for participation agreement and cancelation policy

9:00 am- 3:30 pm

Lunch Served

5 CE credits (Subject code: 610)

Instructor: James Klim, DDS (see below for bio)

Contact: Jenny Event Manager 844-375-5546

Details:

AGD PACE Logo- CADStar in a PACE approved provider
CADStar
 Nationally Approved PACE Program Provider for FAGD/MAGD credit. Approval does not imply acceptance by any regulatory authority or AGD endorsement.
 1/1/2026 to 12/31/2029.
 Provider ID# 373312 
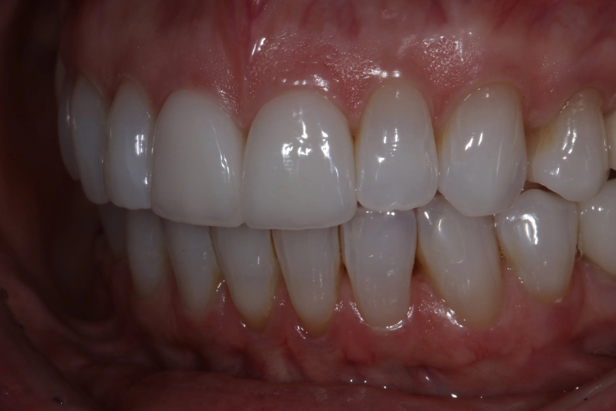
Anterior Esthetic case example by Dr. James Klim. Finishing techniques taught in Anterior Ceramic Finishing one day hands on course.
Anterior texturing and finishing e.max case example by James Klim, DDS. Techniques taught in Dr. Klim's hands on courses.
Attendees learning anterior finishing methods taught by James Klim DDS.
Anterior finished and customize e.max crown by Dr. James Klim. Taught in his hands on CEREC™ courses.

Cancelation Policy and Participation Agreement:

Cancelations after 90 days and up to 60 days prior to course date will be subject to refund minus value of reservation deposit of $595 per doctor and $295 per assistant. No refund will be issued after 60 days prior to course date. 

James Klim, DDS, FAGD, AAACD CEREC™ CAD/CAM instructor

Instructor: James Klim, DDS, FAGD, AAACD

Dr. Klim is an internationally recognized speaker, author, manufacture consultant, beta tester, and teacher of biofunctional and aesthetic CAD/CAM dentistry. 

With over 30 years of clinical experience working with all-ceramic restorative dentistry, Dr. Klim is known for passing on sound clinical understanding and techniques about integrating restorative protocols to the digital platform with predictable results. He is passionate about sharing tools and templates that will assist other CEREC users with their success and satisfaction in the CAD/CAM restorative theater.

Graduating Summa cum Laude, valedictorian, from Loma Linda University in 1984, Dr. Klim has been awarded high academic recognition by the Alpha Omega Fraternity and the Omicron Kappa Upsilon Society and has received the Prince Award from Loma Linda University School of Dentistry.

Dr. Klim has been awarded fellowships from the Academy of General Dentistry and Academy of Dental-Facial Esthetics. He is an Accredited Member of the American Academy of Cosmetic Dentistry.

Currently, Dr. Klim practices and teaches in Santa Rosa, California, and is the founder and director of the Klim Institute CADStar™ CEREC Training Center, and hosts the international cadstar.tv online CEREC training (has been viewed in over 150 countries).

With several years teaching post-graduate levels in functional and aesthetic dentistry, he is now using this experience as one of the most sought after educators in CAD/CAM dentistry. His knowledge and practical clinical experience will mentor the CEREC oriented office with further digital integration and clinical applications.