Online CE Lessons

Ceramic Shade Selection 

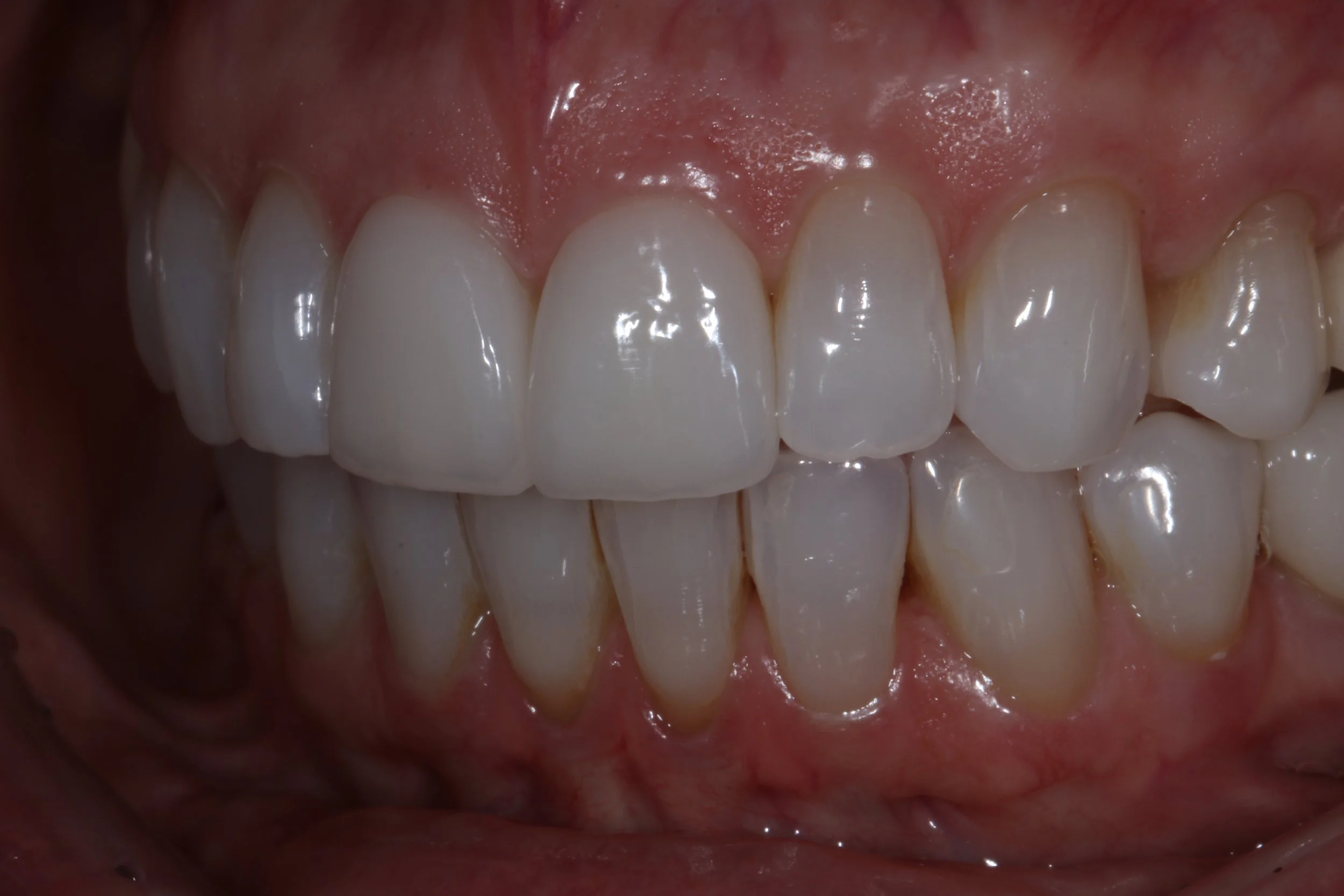
This lesson will take you through a systematic understanding and process for ceramic selection to acheive a desired final shade.

Credit Hours: 1.5

Presenter: James Klim, DDS (Click here to view speaker bio and disclosures)

AGD Subject code: 610 

Delivery Method: Electronically Mediated, Self Instruction

Date Published: 4/14/25 Date Reviewed: 12/17/25

Fee: Complimentary for members

There are no prerequisites for this course

Required Technology: Internet connection required. Works on desktop and mobile browsers

To receive CE credit, participants must complete the entire course and pass the post-course quiz with a minimum score of 70%

Provider: CADStar, 844-375-5546

No commercial support was received for this activity

Learning Objectives:

  • Understanding differences between difference ceramic aesthetic materials

  • Review of tools used to choose appropriate material shade

  • Learn impact of prep design and restoration thickness on final shade

  • Understanding impact of resin on shades of ceramics

AGD PACE Logo- CADStar is an approved PACE provider

CADStar Nationally Approved PACE Program Provider for FAGD/MAGD credit. Approval does not imply acceptance by any regulatory authority or AGD endorsement. 1/1/2026 to 12/31/2029. Provider ID# 373312

Enter Lesson