Online CE Lessons

Finishing Implant Restorations 

This course will review the process of finishing implant restorations after fabrication from a CAD/CAM system. These finishing techniques cover applicable materials including lithium disilicate .   

Credit Hours: 1 

Presenter: James Klim, DDS (Click here to view speaker bio and disclosures)

AGD Subject code: 610 

Delivery Method: Electronically Mediated, Self Instruction

Date Published: 4/14/25 Date Reviewed: 4/14/25

Fee: Complimentary for members

There are no prerequisites for this course

Required Technology: Internet connection required. Works on desktop and mobile browsers

To receive CE credit, participants must complete the entire course and pass the post-course quiz with a minimum score of 70%

Provider: CADStar, 707-546-4582

No commercial support was received for this activity

Learning Objectives:

  • Identify the appropriate finishing tools for each implant restorative material

  • Understand principles around tibase height and emergence

  • Learn the most efficient steps for polishing implant restorations

  • Understand firing indications and effects for current glaze systems

  • Review steps for post mill finishing including shaping, texturing and stain and glaze

AGD PACE Logo- CADStar is an approved PACE provider

CADStar Nationally Approved PACE Program Provider for FAGD/MAGD credit. Approval does not imply acceptance by any regulatory authority or AGD endorsement. 1/1/2026 to 12/31/2029. Provider ID# 373312

Enter Lesson
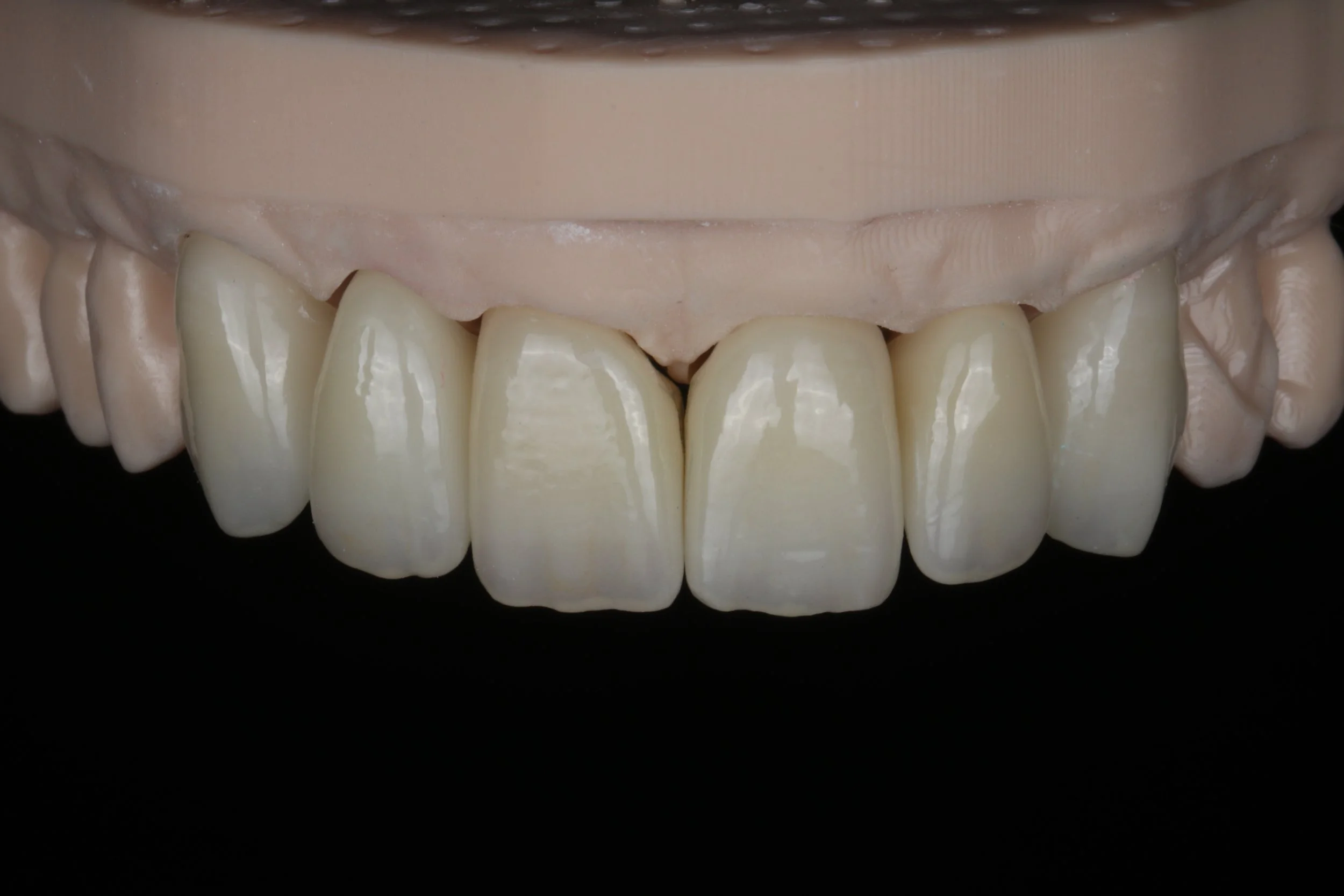
Implant abutments on tibase by James Klim, DDS. Techniques for finishing implant abutments taught through this online CE lesson

Anterior Zirconia Restorations 

This course will cover the concepts for customizing and finishing anterior Zirconia CAD/CAM restorations to attain optimal aesthetic and functional results.

Credit Hours: 1 

Presenter: James Klim, DDS (Click here to view speaker bio and disclosures)

AGD Subject code: 610 

Delivery Method: Electronically Mediated, Self Instruction

Date Published: 5/21/25 Date Reviewed: 5/21/25

Fee: Complimentary for members

There are no prerequisites for this course

Required Technology: Internet connection required. Works on desktop and mobile browsers

To receive CE credit, participants must complete the entire course and pass the post-course quiz with a minimum score of 70%

Provider: CADStar, 707-546-4582

No commercial support was received for this activity

Learning Objectives:

  • Understand the properties and indications for multi-layer monolithic zirconia in anterior restorations

  • Apply pre-sintering texturing protocols to achieve primary, secondary, and tertiary anatomy

  • Utilize MiYO Esthetic and MiYO Structure materials to enhance shade, translucency, and enamel-like effects

  • Integrate CAD/CAM design strategies to reduce manual adjustments post-milling

AGD PACE Logo- CADStar is an approved PACE provider

CADStar Nationally Approved PACE Program Provider for FAGD/MAGD credit. Approval does not imply acceptance by any regulatory authority or AGD endorsement. 1/1/2026 to 12/31/2029. Provider ID# 373312

Enter Lesson
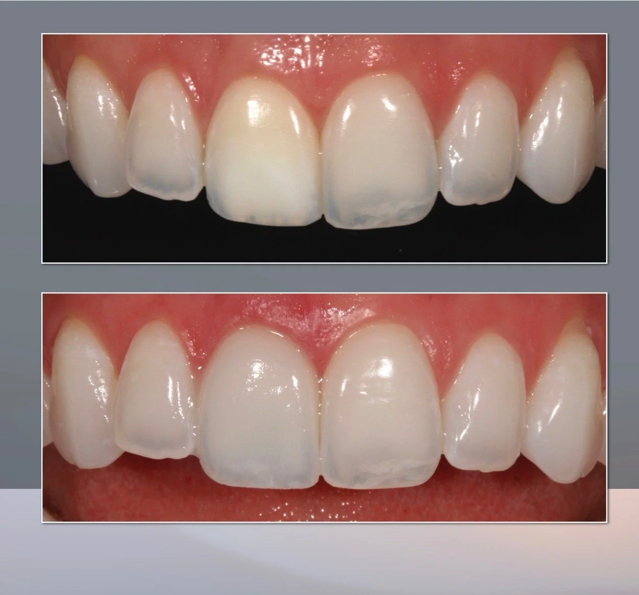
Case example of finished anterior zirconia restorations by James Klim, DDS

Single Anterior Central  

This course will walk through a single central workflow using the Primescan, e.max, and MiYO brush-on ceramic.  The principles are also applicable to Omnicam users.

Credit Hours: 1.5

Presenter: James Klim, DDS (Click here to view speaker bio and disclosures)

AGD Subject code: 780 

Delivery Method: Electronically Mediated, Self Instruction

Date Published: 6/9/25 Date Reviewed: 6/9/25

Fee: Complimentary for members

There are no prerequisites for this course

Required Technology: Internet connection required. Works on desktop and mobile browsers

To receive CE credit, participants must complete the entire course and pass the post-course quiz with a minimum score of 70%

Provider: CADStar, 707-546-4582

No commercial support was received for this activity

Learning Objectives:

  • Understand how to maximize the digital design software, especially when using the copy and mirror function

  • Learn finishing techniques to mimic adjacent tooth

  • Understand how resins can effect the overall blend of ceramic restorations

AGD PACE Logo- CADStar is an approved PACE provider

CADStar Nationally Approved PACE Program Provider for FAGD/MAGD credit. Approval does not imply acceptance by any regulatory authority or AGD endorsement. 1/1/2026 to 12/31/2029. Provider ID# 373312

Enter Lesson

Aesthetic Posterior Zirconia Bridge Workflow 


This lesson will walk through the diagnosis, CEREC™ software, green zirconia shaping, and MiYO characterization for a ZirCAD Multi zirconia bridge in the secondary smile zone.

Credit Hours: 1.5

Presenter: James Klim, DDS (Click here to view speaker bio and disclosures)

AGD Subject code: 610 

Delivery Method: Electronically Mediated, Self Instruction

Date Published: 3/21/20 Date Reviewed: 6/10/25

Fee: Complimentary for members

There are no prerequisites for this course

Required Technology: Internet connection required. Works on desktop and mobile browsers

To receive CE credit, participants must complete the entire course and pass the post-course quiz with a minimum score of 70%

Provider: CADStar, 707-546-4582

No commercial support was received for this activity

Learning Objectives:

  • Describe the functional and esthetic benefits of zirconia for posterior fixed bridges.

  • Implement the complete CEREC™ digital workflow for fabricating posterior zirconia bridges.

  • Apply correct connector design and occlusal strategies to ensure long-term restoration success.

  • Perform finishing, staining, and glazing techniques to optimize esthetic outcomes.

AGD PACE Logo- CADStar is an approved PACE provider

CADStar Nationally Approved PACE Program Provider for FAGD/MAGD credit. Approval does not imply acceptance by any regulatory authority or AGD endorsement. 1/1/2026 to 12/31/2029. Provider ID# 373312

Enter Lesson